PREMIER ISO 9001:2008 CERTIFIED DENTAL CENTRE
CHEEMA DENTAL IMPLANT CENTRE
213 MODEL TOWN
Opp. Lane Sanjay Krate School
JALANDHAR, PUNJAB 144003
India
ph: 919814603002
alt: 911814623002
info


dental clinic in jalandhar Dental Clinic Ludhiana Dental clinic Chandigarh Cosmetic Dentist jalandhar Cosmetic Dental jalandhar Smile Design jalandhar jullundur jalander
dentist in north india dentist in punjab dentist nri dentist
united kingdom united states of america canada australia dental services dental clinic adampur bhogpur mahilpur sangrur mohali dental panchkula dental lumineers
pioneers in dental implants jalandhar
dental medical tourisim
dental implants mumbai
smile designing mumbai
smile designing for bollywood stars
smile designing for models
smile designing for film stars
smile designing for tv serial stars dental treatment
dental implants mahilpur
dentist in mahilpur mahalpur
dental dentist moga jagraon
mansa abohar dentist karnal ambala
dentist implants tarn taran punjab
dentist in nawanshahr
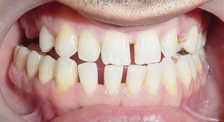
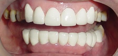
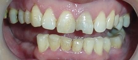
Smile! You're about to discover how you can have that perfect smile you've always dreamed of.
Our office emphasizes implant and cosmetic dentistry. We have the tools and the technology to improve your smile...easily, comfortably. You'll be amazed at what we can do.
And because we believe cosmetic work starts with healthy teeth and gums, you can trust Dr. Cheema to help you look and feel your best.
Our First Concern Is Your Comfort
Our team of friendly, caring professionals is specially trained in the latest techniques in virtually "pain-free" care.
CLICK ON PICTURE BELOW TO SEE STEP BY STEP MOVIE OF COMPUTER GUIDED DENTAL IMPLANTS (PARTIAL CASE)
CLICK ON PICTURE BELOW TO SEE LIVE VIDEO OF STEP BY STEP COMPUTER GUIDED DENTAL IMPLANT PLACEMANT
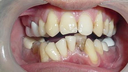
CLICK ON IMAGE BELOW TO WATCH STEP BY STEP PLACEMENT OF 3 MANDIBULAR POSTERIOR IMPLANTS
IMMEDIATE EXTRACTION OF TEETH ROOTS AND IMMEDIATE PLACEMANT OF NOBEL ACTIVE IMPLANT , ABUTMENT AND 3 UNIT BRIDGE ON 2 NOBEL ACTIVE DENTAL IMPLANTS, CLICK BELOW ON PICTURE TO SEE STEP BY STEP PROCEDURE.
CLICK ON PICTURE BELOW TO SEE IMMEDIATE EXTRACTION OF 2 RETAINED DECEDIOUS TEETH AND IMMEDIATE PLACEMENT OF IMPLANT AND CROWN.

Nobel Active dental implants (4) placed after immediate extraction of three teeth roots.click here to see results click for video
AWARD WINNING CENTRE FOR
IMMEDIATE FUNCTION DENTAL IMPLANT

Dr Brien Lang on the left of Dr Cheema and on right side Dr Robert Gottlander President Global Marketing and Products NOBEL BIOCARE.

+61 280 917002
Hollywood Style

save your teeth for saving your eyes in future.
Blind Woman Sees With Tooth Implanted In Eye Surgery - ABC News
All rights reserved.
CHEEMA DENTAL IMPLANT CENTRE
& MULTI SPECIALITY DENTAL CLINIC
LINKS:-
CHEEMA DENTAL IMPLANT CENTRE
213 MODEL TOWN
Opp. Lane Sanjay Krate School
JALANDHAR, PUNJAB 144003
India
ph: 919814603002
alt: 911814623002
info